Demandez votre protocole easyfit® maintenant

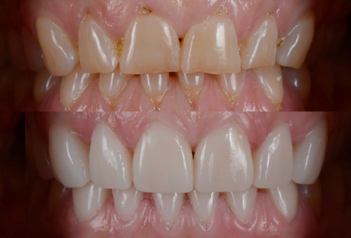
Profitez de notre expertise et intégrez easyfit®, nos facettes pelliculaires ultra-fines, dans votre pratique pour corriger rapidement les imperfections dentaires de vos patients. 

Des questions ?
Contactez notre équipe d'experts au 0.800.81.81.19






Pourquoi choisir easyfit® ?

✅ Ultra-fines (jusqu’à 0,3 mm) : préserve les dents naturelles 

Correction simple : tâches, fractures, malpositions, diastèmes

Pose rapide : seulement 2 à 3 séances

Résultat durable : céramique IPS e.max® pour un sourire naturel

 

PROTILAB - © 2025